
흔히들 '멀티태스킹을 잘 해야 한다'고들 이야기 하죠?
회사에 출근해서는 모니터 두 대를 번갈아 가며 살펴보고,
노래를 들으면서 공부를 하거나,
핸드폰과 TV를 동시에 보는 것이 요즘 우리의 일상입니다.
하지만 실제로
멀티태스킹은 뇌 기능을 오히려 망친다는 사실!
알고 계셨나요?

사실 멀티태스킹의 부작용에 대한 주장은
10년 전부터 꾸준히 있어왔습니다.
그 주장을 뒷받침하는 내용으로,
'인간의 뇌는 멀티 태스킹을 하도록 이루어져 있지 않다'는 사실은
오래전에 연구로 밝혀졌는데요.
흔히 멀티태스킹을 하면
다양한 활동을 처리하는 뇌의 여러 부분이 각 활동을 할 때 맞춰서 전환될 것이고,
이런 멀티태스킹을 단련하다보면
'정보 취사 선택 능력', '여러 작업을 빠르게 변환하는 능력', '작업기억력' 등이
향상되지 않을까 예상합니다.
하지만 연구 결과 멀티태스킹 경향이 강한 사람은 하나의 작업에 집중하는 사람들 보다
관련 정보 취사 선택에 서툰데다 작업 전환도 훨씬 어설픈 것을 알 수 있었습니다.
사람의 뇌는 한 가지 작업을 하고 있을 때 또 다른 작업을 하기 위한 공간이 거의 남아있지 않다고 합니다.
멀티태스킹을 하는 사람들은 실제로는 생산적이지 않은 일을 하고 있음에도 불구하고
여러가지를 동시에 수행하며 엄청나게 효율적으로 일을 해내고 있는 것 같은 '착각'을
통해 정신적 만족감을 얻을 뿐이죠.
결과적으로 멀티태스킹을 하면
어떠한 일에도 집중하지 못한채
일 처리 속도만 느려지게 되며, 실수 확률도 증가하고,
주의력도 떨어지는 최악의 결과로 이어지게 됩니다.

멀티태스킹은 집중력과 주의력의 저하 및 작업속도 감소 뿐만아니라
뇌 구조 자체에도 영향을 주어 영구적인 손상을 시킬 수도 있다고 합니다.
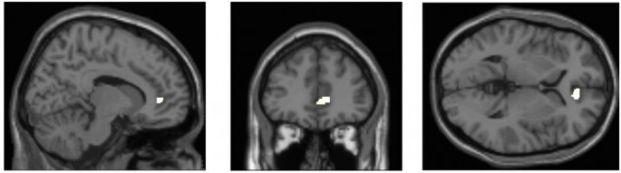
멀티태스커들의 뇌와 그렇지 않은 사람들의 뇌를 MRI로 스캔하여 살펴본 결과,
멀티태스킹이 일상화가 되면 뇌에서 감정과 공감능력 같은 사고에 관련된 부분을 담당하는
전대상 피질(anterior cingulate cortex)의 밀도가 다른 사람들보다 낮다고 합니다.
이 같은 결과는 멀티태스커들 중에서 주의산만이나 우울, 분노 같은 증상이 더 많이 나타난다는
이전의 연구 결과들을 뒷받침 해줍니다.

멀티태스킹은 지능지수(IQ)도 낮춘다고 알려져 있는데요.
특정 실험자가 주의력을 요구하는 일들을 한 번에 한 가지 이상 실행할 때
지능지수가 감소하는 현상을 보였다고 합니다.
그리고 그 지수는 하루 밤을 꼬박 새거나 미라화나를 이용한 사람과 비슷한 수준이라고 해요.
그래도 다행히 멀티태스킹이 지능지수를 영구적으로 감소시키지는 않는다고 합니다.

이와 같은 이유로 모노태스킹보다는 모노태스킹이 주목을 받고 있습니다.
모노태스킹(monotasking)은 한 번에 한 가지 일에만 몰입하여 충실히 하는 것입니다.
한 가지 작업에만 집중하고 매달리는 것이 오히려 뇌를 더 효율적으로 쓰는 방법인데요.
오히려 한 가지 일에만 몰두할 때 그 일을 더 즐겁게 할 수 있으며,
짧은 시간 동안에 일을 처리하면 높은 만족감을 얻고 업무 부담에 대한 스트레스를 줄일 수 있다고 합니다.
모노태스킹의 구체적인 예시로는
인터넷 브라우저 탭은 하나만 열기,
생산성 향상을 위해 물리적인 장소를 변경해보기,
25분간 한 가지 일에 몰두하고 5분은 휴식을 취하는 뽀모도로 테크닉 이용,
모노태스킹 할 때 방해 받지 않는 환경 만들기,
주의가 산만해지면 잠시 명상을 하거나 멍 때리면서 뇌 휴식 취하기,
이메일은 하루에 정해진 시간 동안에만 확인하기 등이 있습니다.
멀티태스킹으로 여러 업무를 한 번에 처리하려 하다
결과적으로 어느 하나의 일도 제대로 해내지 못하는 것보다,
하나의 일에 집중하고 몰입하여 한 가지 일을 완벽하게 끝내고
다음 일을 시작하는 것이 어떨까요?
참고자료
https://www.venturesquare.net/517124
https://platum.kr/archives/124237
https://www.penews.co.kr/news/articleView.html?idxno=18566
https://platum.kr/archives/124237
https://www.dongascience.com/news.php?idx=5215
'소소한 과학이야기' 카테고리의 다른 글
| 스마트 콘택트렌즈로 바라보는 세상 (1) | 2022.11.02 |
|---|---|
| 기후위기, 이대로 괜찮을까? (6) | 2022.10.05 |
| 원숭이두창에 대한 진실과 오해 (0) | 2022.08.03 |
| 누리호 2차 발사 (1) | 2022.07.06 |
| 6월 5일 환경의 날 (0) | 2022.06.09 |
댓글